WHAT'S THE STORY
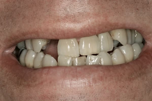
Do you think my “before” picture looks like a guy who’s been in a fight? I don’t know what it is about a jaw like mine that makes people think I’m a tough guy. Maybe because Arnold Schwarzenegger’s mug has that kind of swagger. Anyway, it was good enough for my wife when we got married, but then she decided she’d had enough of the caveman look.
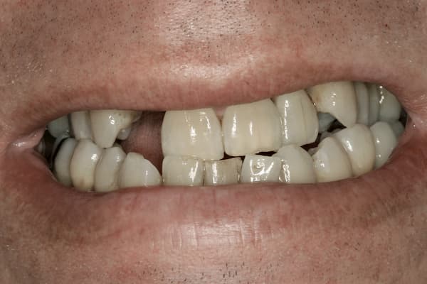
We fixed it. I wore those invisible braces, let the dentists do their thing, and now look at me. I mean it. Look at me. I look GOOD. My wife tells me so all the time.
Before & after
Before
after
do you want to smile like MARC
Make An AppointmentWHAT DOCTORS SAY
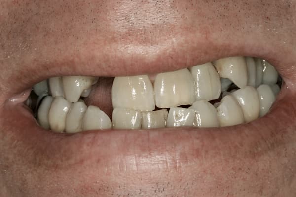
“SOME PEOPLE CALL IT ” THE JAY LENO JAW” BUT TECHNICALLY, IT’S AN ANTERIOR CROSS BITE”
Some people call it “The Jay Leno Jaw” but technically, it’s an anterior “cross bite.” When your lower teeth jut out in front of your upper teeth, it often presents as an aggressive look, with a strong jaw line. But dentists call this an anterior crossbite or a prognathism. This can be appealing on certain men. It’s more difficult for a woman to make that look work. In the old days, there was only one way to correct it: surgically breaking and resetting the lower jaw. Fortunately, most people can get beautiful results with Lowenberg, Lituchy, and Kantor porcelain veneers. After Marc’s teeth had been moved into place by Invisalign braces, we used veneers along with some bridgework and crowns to correct his bite and improve his appearance. With a proper bite and the use of night guards to protect his dental work, the problem does not recur. They said it couldn’t be done. But we did it.

