WHAT'S THE STORY
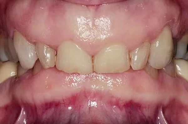
I’ve always been one to take good care of myself. It costs money and it takes time, but I get my hair done, do the skin care routine, put on my makeup. My face became a very nice frame for a smile that wasn’t so great any more. I guess it happens to everyone as they get older, but my teeth got darker. They actually looked yellow to me. One little chip here, one little chip there, and after a few years, my teeth didn’t go with the rest of my face.
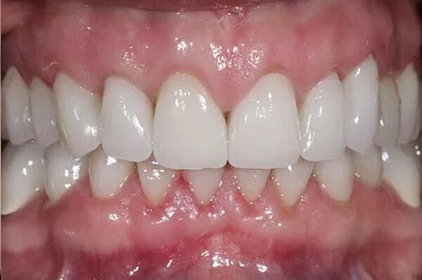
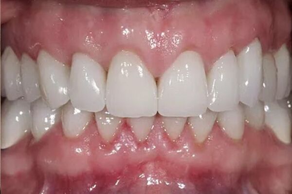
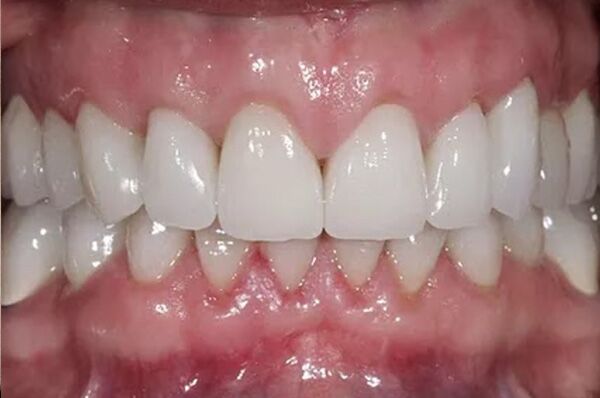
Did I mention that I didn’t like the amount of gum that showed when I smiled? I was pleasantly surprised to find out that could be fixed. Now, my face and my teeth look like they belong to the same person – me.
Before & after
Before
after
do you want to smile like BARBARA
Make An AppointmentWHAT DOCTORS SAY
“AGING DEFINITELY TAKES A TOLL ON TEETH”
Aging definitely takes a toll on teeth. Barbara’s teeth had been worn down so much she had what we call a “collapsed bite.” We built up the height of her back teeth to what they might have been when she was just out of her twenties. It’s almost like an instant facelift because it literally elongates facial skin. Working with our periodontist, we reshaped her gum line. This is essentially a “gum lift”, when the gum is raised to show more tooth structure. Finally, we chose porcelain veneers to elongate her front teeth, compensating for years of chipping and grinding. We often find that baby boomers have one or more of these conditions: stained, dark or yellow teeth, chipped and worn front teeth, or too much gum showing. Barbara’s smile proves that it really is possible to turn back the hands (or in this case, the teeth) of time.

