WHAT'S THE STORY
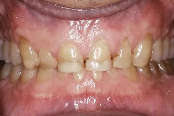
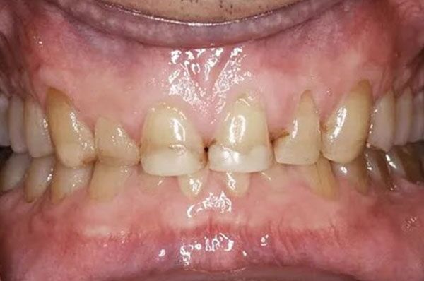
I did not start out looking like the “before” picture. When did my front teeth disappear? At first I thought it was just a lot of bad lighting in the candid family snapshots. And that fluorescent light over the bathroom mirror throws weird shadows on everybody’s face. Finally, one day I admitted to myself that it wasn’t the lighting, it was my teeth. My dentist told me I was grinding them down. So he bonded material onto the edges to add back the length I lost.
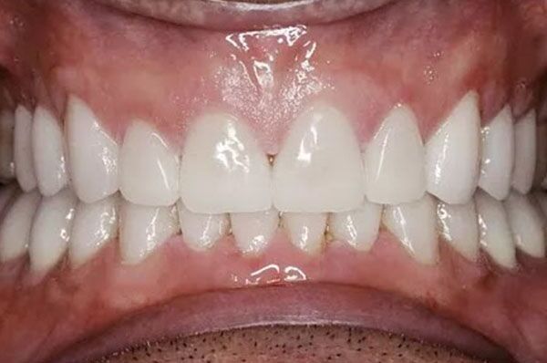
Quite honestly, the first solution didn’t work because I just couldn’t stop clenching my jaw and grinding my teeth. I wasn’t even aware that I was doing it, and I just chipped my teeth all over again. I’m not a kid anymore. I’ve got a family and a responsibility. I was ready to look like the man I’ve become. That’s the man I want to be.
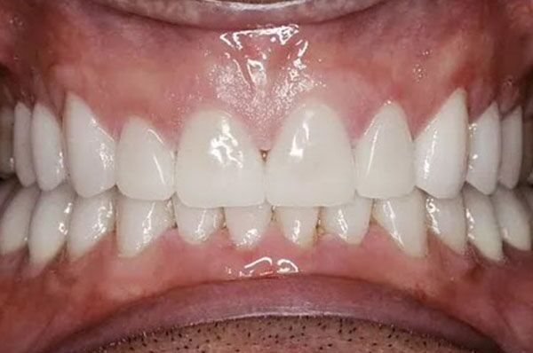
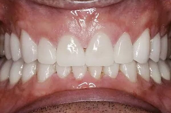
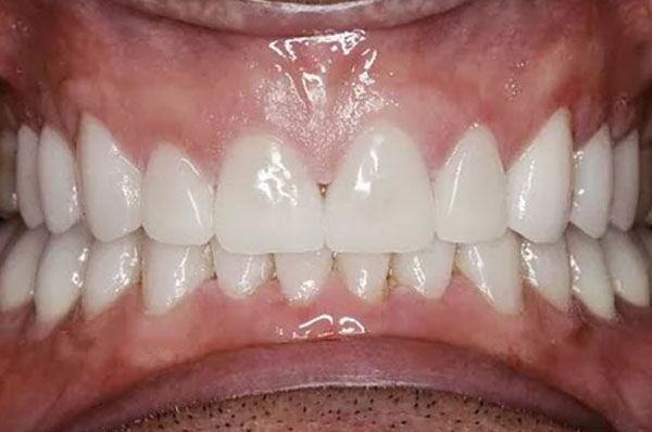
Before & after
Before
after
do you want to smile like JEFF
Make An AppointmentWHAT DOCTORS SAY
“EVERY DAY CLENCHERS AND NIGHT GRINDERS ARE SANDING DOWN THEIR OWN TEETH”
Jeff is one of thousands – yes, thousands – of our patients who grind their teeth. They have no idea they’re destroying their enamel, one day at a time. It’s not a conscious habit for most. Some people are oblivious to the fact they deal with stress by grinding or clenching their teeth, all day, every day. Others never clench or grind during the day, but at night, they make up for lost time. Every day clenchers and night grinders are sanding down their own teeth, grating off one tiny bit of enamel after another. Sooner or later teeth begin to appear shorter or thinner. They become more translucent, and as light passes through them, they appear almost gray. Like Jeff, they may find that when they smile, their teeth have practically disappeared. Let’s stop the damage. Come in and we’ll show you how we can restore what you’ve already ground down and chipped away. Usually our LLK porcelain veneers are all you need. Then we’ll fit you for a night guard, and we’ll help you prevent future problems. With your teeth, that is. Reducing the rest of your stress is up to you.
